Одним из распространённых в классической гомеопатии препаратов, является Псоринум (Psorinum). Препарат изготовлен на основе содержимого чесоточного пузырька.
Показания к применению псоринум, современная инструкция по его использованию в классической гомеопатии – тема этой статьи.
Псоринум в гомеопатии. Основные показания к применению или ключевые симптомы псоринум
В гомеопатической Материа медика около двухсот ключевых симптомов препарата.
Рассмотрим основные из них, те, которые составляют суть препарата, ессенц (essence – суть).
«Все есть лекарство, и все есть яд – все дело в дозе» - фразу приписывают то ли Парацельсу, а то ли Гиппократу, это не слишком важно. Важно, что бы вы не испугались названия субстрата для лекарства. Псоринум бывает очень эффективен при целом ряде состояний и часто с успехом применяется.
И если у Вас симптомы псоринум, заменить его не чем.
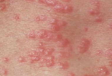
Мёрзнет, особенно голова, летом может ходить в шапке. Ощущение, что он грязный, как тщательно бы не мылся. Пот, любые выделения - с неприятным запахом. Стойкие зудящие высыпания.
Легко впадает в отчаяние по поводу своего материального благополучия, успокаивается в компании, стремится завести семью, религиозен.
Сильный ночной голод. Вообще, еда улучшает его состояние, всегда голоден. Не любит свинину. Расстройство желудка после употребления персиков.
При астме – лучше лёжа, в тепле, с раскинутыми руками, от обильного потоотделения.
Сухие зудящие высыпания. Даже при назначении правильного лечения, они проходят не быстро.
Носовое кровотечение, обрывающее головную боль.
Перед ухудшением, у пациента часто период психоэмоционального и энергетического подъёма.
Ему хуже от перемены погоды.
Экзема. Стойкая. И кожа будто грязная.
Герпес.
Болезни ЛОР органов, бронхо-лёгочной системы, бронхиальная астма.
Эпилепсия.
Невротические состояния, депрессия с суицидальными мыслями, бессонница.
Гастриты, дуодениты с голодными болями.
Псоринум может успешно применяться и при других заболеваниях. Главное – наличие хотя бы нескольких ключевых симптомов.
Псоринум может применяться в разных потенциях, от С-3 до С-100000. Есть ещё LM потенции.
Какой потенцией лечить и как часто применять препарат – решает гомеопат, в зависимости от исходного состояния пациента и его реакции на лечение.
Общее правило: низкие потенции могут применяться чаще, до нескольких раз в день.
Высокие потенции – реже, до одного раза в несколько месяцев.
Основная задача гомеопата – поддерживать активность защитных сил организма (гомеопаты называют это жизненной силой) на уровне, достаточном для успешной борьбы с болезнью. Поэтому частоту приёма препарата и потенцию, в которой он применяется, гомеопат определяет индивидуально для каждого пациента.
Всех, кто выбирает путь восстановления своего здоровья, приглашаем посетить наш Центр!
Для того, что бы попасть на приём к врачу нашего Центра, нажмите «Заказать звонок» в самом низу, введите номер телефона и свои контактные данные.
Мы перезвоним Вам в удобное время, для согласования сроков и уточнения цены приёма.
Первичный приём у гомеопата – классика стоит от 4600 руб.
Обоснование цены смотрите здесь.
Если у Вас остались вопросы – жмите «Задать вопрос врачу». Квалифицированный врач гомеопат ответит на все Ваши вопросы.
Понравилась статья? Мы старались!
Поделитесь ей в социальных сетях, используя иконки слева!
![]() |
Для записи к врачу Центра звоните: (383) 217-82-92, 206-41-61 либо пишите в
Если у Вас остались вопросы, квалифицированный врач гомеопат ответит на них, как только освободится, в чате |
